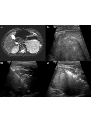
Image guidance for soft tissue tumour biopsy in children
Historically, paediatric tumour biopsies were undertaken using an open surgical technique, but this is invasive and confers morbidity. Now, given the advances in paediatric interventional radiology (IR) techniques, there is a growing preference for tumour biopsies in children to be performed using a percutaneous image-guided technique as this has been shown to be accurate and safe. The majority of paediatric soft tissue tumour biopsies can be performed using ultrasound guidance but sometimes advanced modalities, such as contrast-enhanced ultrasound (CEUS), CT or cone beam CT (CBCT) and image fusion are required. This article describes some of these techniques with case examples.
The content on this page is provided by the individuals concerned and does not represent the views or opinions of RAD Magazine.


