Uterine artery embolisation: a safe and effective option for the treatment of symptomatic fibroids
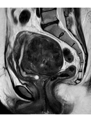
Fibroids, or leiomyomas, are defined as non-cancerous growths that develop within the uterus, composed of muscle and fibrous tissue. They are the most common tumour affecting women of reproductive age, and their prevalence increases with age. By the age of 50, almost 70% of Caucasian women and over 80% of Afro-Caribbean women will have had at least one fibroid. Fibroids can vary in size and location within the uterus and can affect any region along the anatomical spectrum of the outer serosal layer, the intramural myometrial layer and submucosal endometrial layer.
The content on this page is provided by the individuals concerned and does not represent the views or opinions of RAD Magazine.


