Crystal deposition diseases
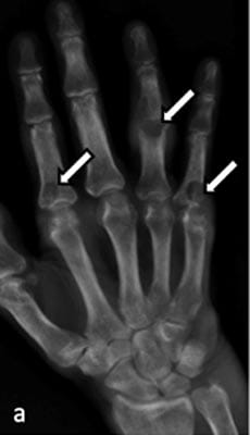
Crystal deposition diseases are a spectrum of arthritides induced by cellular reaction and inflammatory response in and around joints due to microcrystals. The most common of these disorders are gout, calcium pyrophosphate dihydrate and calcium hydroxyapatite deposition disease. The difference in the pathophysiology of these diseases means they are unique in their clinical presentation and radiological appearances. Imaging plays a pivotal role in the diagnosis and subsequent monitoring of treatment response and is a cornerstone of management. Conventional radiography remains the primary modality, but there is an increasing role of ultrasound, CT, MRI and dual energy CT.
The content on this page is provided by the individuals concerned and does not represent the views or opinions of RAD Magazine.


