Inflammatory spinal cord lesions and mimics
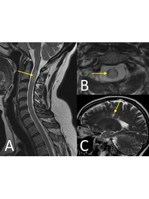
MRI is the investigation of choice in patients with a suspected spinal cord syndrome. In addition, imaging of the spinal cord is commonly performed alongside brain MRI in the workup of patients with a suspected inflammatory demyelinating disorder, such as multiple sclerosis. Spinal cord lesions from a variety of causes can have similar imaging appearances and careful interpretation of MR images is required to provide either an accurate diagnosis or an appropriate differential diagnosis.
With respect to MRI technique, high quality T2 sequences are essential to ensure good sensitivity for cord lesions and to allow accurate delineation of the extent of lesions. The sagittal T2 sequence shows the longitudinal extent of lesions, while the axial T2 sequence shows the location of lesions within the cord in cross-section. Both of these features are important discriminators. In addition, post-contrast T1 sequences are useful in demonstrating the enhancement pattern of cord lesions, which may also help to distinguish between different pathologies.
The content on this page is provided by the individuals concerned and does not represent the views or opinions of RAD Magazine.


