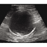
Ultrasound scanning of the appendix
Appendicitis is one of the most common causes of acute abdominal pain in both children and adults, and remains the most frequent abdominal surgical emergency globally, with approximately 50,000 acute appendicectomies performed annually in the UK. Timely diagnosis is key for optimising outcomes with appropriate treatment. Delays in diagnosis and initiation of treatment can lead […]

Dr Ruth Reeve, Dr Anmol Gangi-Burton, Dr Althaf Abdul Rasheed, Dr Mohammad Hussein Abdi
Portsmouth University Hospitals NHS Trust, Nottingham University Hospitals NHS Trust





