An unexpectedly therapeutic ultrasound: real-time capture of ovarian cyst rupture
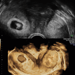
Simple ovarian cysts and cyst accidents are common gynaecological presentations in pre-menopausal women. In this case report, a cyst rupture occurred during ultrasound scan, neatly uniting the pre- and post-accident appearances in one event. The patient attended with pain and a 6cm cyst seen on CT, for ultrasound evaluation and follow-up by gynaecology as a […]
Leah Marsden
Wye Valley NHS Trust





